미 질병통제센터(CDC)에 7일(현지시각) 웹사이트에 업데이트한 환자 건수는 전날에 비해 27건이 새로 보고된 결과를 반영했으며, 미시건에서 8명에서 18명, 버지니아 주에서 11명에서 18명으로 보고된 환자수가 늘어났다.
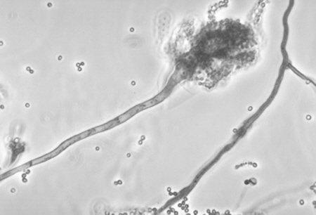
| ▲ 미 질병통제센터(CDG)가 제공한 ''곰팡이 오염 스테로이드 주사'의 곰팡이 배양 사진. 일상적으로 흔한 곰팡이이지만, 척수에 직접 주입했을 경우 뇌척수염을 일으킬 수 있다. 7일(현지시각) 현재 이미 미국에서 91명 환자 발생 보고에 7명이 사망했다. |
"최근 두달새 오염된 주사약 1만7676개 공급"
문제의 스테로이드 주사는 주로 등의 통증을 완화하는 용도로 쓰이며, 매사추세츠 주의 소도시 프레이밍햄에 위치한 뉴잉글랜드제약 공장에서 생산된 것이다. 이 회사는 지난 7월에서 9월 사이에 미국 23개 주 76개 의료시설에 메틸프레드니솔론이라는 강력한 부신피질호르몬제 주사약 1만 7676개를 공급했다. 미 보건당국은 이미 문제의 주사약이 수천 명의 환자에게 사용됐을 것으로 보고 있다.
곰팡이에 오염된 스테로이드 주사를 맞으면 1주에서 4주 사이에 발열과 두통, 구역질, 신경염 등 각종 증세를 일으키기 시작한다. CDC에 따르면, '곰팡이 뇌척수염'은 전염성은 없다.
'곰팡이 스테로이드'를 조제한 회사는 당국의 조사가 진행되면서 영업을 중단하고, 프레이밍햄 공장에서 조제돼 판매된 모든 제품에 대한 회수 조치에 들어갔다. 하지만 문제의 주사약들은 환자가 가장 먼저, 그리고 지금까지 가장 많이 발생한 테네시를 비롯해 플로리다, 인디애나, 매릴랜드, 미시건, 미네소타, 노스캐롤라이나, 오하이오, 버지니아 등 환자와 사망자가 발생한 9개 주를 포함해 23개 주에 퍼져나갔다.
"FDA 승인 없이 판매 가능한 조제약"
이에 따라 캘리포니아, 코네티컷, 조지아, 아이다호, 일리노이, 뉴햄프셔, 뉴저지, 네바다, 뉴욕, 펜실베이니아, 로드아일랜드, 사우스캐롤라이나, 텍사스, 웨스트버지니아 등에서도 환자 발생이 보고될 지 주목된다.
<로이터> 통신에 따르면, 문제의 주사약은 의사의 처방에 따른 조제약으로 미국 연방 식품의약국(FDA)의 허가 없이 판매된다. 이에 따라 그동안 프레이밍햄 공장의 품질 관리가 제대로 되고 있는지 조사를 요구하는 민원이 여러 차례 있었다.



전체댓글 0